10.39°C Vancouver

News

canadians-can-now-download-new-covid-19-exposure-alert-smartphone-app
CanadaJul 31, 2020

Canadians can now download new COVID-19 exposure-alert smartphone app

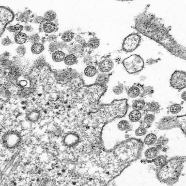
Canadians can now begin downloading a voluntary smartphone app meant to warn users they've been near someone who tests positive for COVID-19. Prime Minister Justin Trudeau says he downloaded the "COVID Alert" app this morning and says the more people who sign up to use it, the better it will be able to trace — and help to slow — the spread of the novel coronavirus. The app is designed to track the location of phones relative to each other, without collecting personal data anywhere centrally, using digital identifications unique to each device. Then users can be notified if their phones hav
bail-hearing-delayed-again-for-man-accused-in-rideau-hall-gate-ramming
CanadaJul 31, 2020

Bail hearing delayed again for man accused in Rideau Hall gate-ramming

The man accused of ramming through a gate at Rideau Hall while heavily armed is staying in an Ontario jail for another three weeks. Corey Hurren was arrested July 2 and has not yet had a bail hearing. He had a brief appearance in an Ottawa court this morning, only to have Aug. 21 set as the date for his next appearance. The Manitoba military reservist and sausage-maker faces 21 weapons charges and one of threatening Prime Minister Justin Trudeau. Police say Hurren broke through a side gate early in the morning the day after Canada Day and made his way toward the residence where Trudeau and hi
CanadaJul 31, 2020

CN train derails east of Winnipeg, no reports of injuries, no hazardous goods

Canadian National Railway Co. says one of its trains has derailed east of Winnipeg along Highway 1, causing a small fire. CN says there are no reports of injuries and there are no dangerous goods involved. The company says the derailed train cars are carrying potash. RCMP say the derailment occurred near Deacons Corner about 20 kilometres east of Winnipeg. Mounties were called to the scene at approximately 5 p.m. CN says the cause of the derailment is under investigation.
392-covid-19-cases-reported-in-canada-drop-in-cases-in-ontario-quebec-and-b-c
CanadaJul 31, 2020

392 COVID-19 cases reported in Canada, Drop in cases in Ontario, Quebec and B.C.

There are 115,799 confirmed cases in Canada. Quebec: 59,131 confirmed (including 5,673 deaths, 50,886 resolved) Ontario: 39,075 confirmed (including 2,772 deaths, 34,906 resolved) Alberta: 10,716 confirmed (including 195 deaths, 9,113 resolved) British Columbia: 3,591 confirmed (including 194 deaths, 3,155 resolved) Saskatchewan: 1,306 confirmed (including 18 deaths, 948 resolved) Nova Scotia: 1,067 confirmed (including 64 deaths, 1,003 resolved) Manitoba: 395 confirmed (including 8 deaths, 325 resolved), 14 presumptive Newfoundland and Labrador: 266 confirmed (including 3 deaths, 259 resolve
CanadaJul 30, 2020

Ottawa imposes stricter rules for Americans travelling through

The federal government is tightening the rules for non-essential American travellers passing through Canada en route to Alaska, in order to reduce the time spent in the country during the COVID-19 pandemic. Canada Border Services Agency says U.S. travellers heading to Alaska will be required to use one of five designated border crossings: four in B.C. and one in Alberta.They must also take the most direct routes possible, avoiding all national parks and tourist activities, and will be issued a tag to hang from their vehicle's rear-view mirror for the duration of their trip to ensure compliance
CanadaJul 30, 2020

Four major airports begin screening passengers for elevated temperatures

Four major Canadian airports will begin taking passenger's temperatures starting today as part of the effort to curb the spread of COVID-19.The federal government says temperature screening stations are set up at airports in Vancouver, Calgary, Toronto and Montreal.Transport Canada says temperature screening will be expanded to another 11 airports by September. The agency says employees who enter restricted areas of the airport will also be screened. Passengers who have temperatures above 38 degrees will not be allowed to travel and will be asked to re-book after two weeks.The new screening m
prime-minister-justin-trudeau-to-testify-today-on-we-charity-controversy
CanadaJul 30, 2020

Prime Minister Justin Trudeau testifies on WE Charity controversy

The question of how the Liberals will use the 912-million-dollars budgeted for a COVID-19 student-volunteer program remains unanswered, as Justin Trudeau wrapped up a 90-minute appearance before the House of Commons finance committee.Prime Minister Trudeau says the Canada Student Service Grant was another way to promote youth service and the Liberals will continue to look for opportunities to do that.During his testimony, Trudeau told the committee the country won't know whether going with WE Charity to run the program was the right decision, because the organization backed out. Trudeau's chi
470-covid-19-cases-reported-in-canada-ontario-numbers-drop-and-alberta-virus-figures-cuntinue-to-rise
CanadaJul 30, 2020

476 COVID-19 cases reported in Canada, Ontario numbers drop and Alberta virus figures cuntinue to rise

There are 115,470 confirmed cases in Canada. Quebec: 59,073 confirmed (including 5,670 deaths, 50,886 resolved) Ontario: 38,986 confirmed (including 2,769 deaths, 34,741 resolved) Alberta: 10,603 confirmed (including 190 deaths, 8,983 resolved) British Columbia: 3,562 confirmed (including 194 deaths, 3,109 resolved) Saskatchewan: 1,268 confirmed (including 17 deaths, 929 resolved) Nova Scotia: 1,067 confirmed (including 64 deaths, 1,003 resolved) Manitoba: 393 confirmed (including 8 deaths, 325 resolved), 14 presumptive Newfoundland and Labrador: 266 confirmed (including 3 deaths, 259 resolve
CanadaJul 29, 2020

Woman, teenage children assaulted at Cultus Lake: RCMP

The RCMP is investigating the assault of a woman of colour and her two teenage children reported to have occurred in Chilliwack last weekend.Corporal Mike Rail says a group of South Asian men allegedly directed a number of racial slurs toward the family during a fight at the Entrance Bay area at Cultus Lake.Rail says the two teenage children were treated in hospital for injuries and later released. He says Entrance Bay was crowded at the time of the incident on Saturday and police are asking anyone with information to contact them.

Just In

police-seek-second-suspect-in-fatal-brampton-shooting-issue-canada-wide-warrant
CanadaFeb 27, 2026

Police seek second suspect in fatal Brampton shooting; Canada-wide warrant issued

Peel Regional Police homicide investigators are asking for the public’s help locating a second suspect wanted in connection with a fatal shooting in Brampton last summer. In a news release, police say two men entered a residence near Castlemore Road and Humberwest Parkway on Aug. 19, 2025, where two people were shot. One victim died at the scene. The second person was taken to hospital with gunshot wounds and later released. In October 2025, police arrested 24-year-old Dilpreet Singh of Brampton and charged him with first-degree murder. Investigators have now identified a second suspect as 2
rcmp-investigating-vehicle-and-mailbox-vandalism-in-nanaimo
BCFeb 27, 2026

RCMP investigating vehicle and mailbox vandalism in Nanaimo

Police in Nanaimo are appealing for witnesses after a vehicle and several community mailboxes were vandalized overnight earlier this week. According to the Nanaimo RCMP, officers responded to reports of damage in the 900 block of Old Victoria Road on the morning of February 25. A newer model Tesla that had been parked on the roadway was found with deep scratches across the hood and side panels, along with a shattered windshield. Investigators also discovered several Canada Post community mailboxes located a short distance away had been torn from their concrete base. Police say it is not yet cl
canadas-economy-contracts-in-fourth-quarter-of-2025-as-annual-growth-slows
CanadaFeb 27, 2026

Canada’s Economy Contracts in Fourth Quarter of 2025 as Annual Growth Slows

Canada’s economy recorded a contraction in the final three months of 2025, defying earlier expectations of stable growth, according to new data released by Statistics Canada on Friday. The federal agency reported that real gross domestic product declined at an annualized rate of 0.6 per cent in the October to December quarter. Economists had anticipated little to no change during that period. The slowdown was attributed in part to weaker residential investment and lower inventory rebuilding by manufacturers. Statistics Canada said companies met demand by drawing down existing inventories ins
vancouver-police-seek-witnesses-after-pedestrian-struck-in-hit-and-run
BCFeb 27, 2026

Vancouver Police seek witnesses after pedestrian struck in hit and run

Vancouver Police are investigating a hit and run collision that left a 39-year-old woman injured in the Downtown Eastside earlier this week. The incident happened around 11:20 a.m. on Wednesday at the intersection of East Hastings Street and Columbia Street. Police say the woman was crossing the street when she was struck by a black Kenworth dump truck pulling a trailer. She was taken to hospital and remains in stable condition. According to Const. Megan Lui of the Vancouver Police Department, the driver continued westbound after the collision and may not have realized a pedestrian had been hi
delhi-court-acquits-arvind-kejriwal-and-manish-sisodia-in-excise-policy-case-cbi-to-appeal
IndiaFeb 27, 2026

Delhi court acquits Arvind Kejriwal and Manish Sisodia in excise policy case, CBI to appeal

A Delhi trial court has acquitted former Delhi chief minister Arvind Kejriwal and former deputy chief minister Manish Sisodia in the Delhi excise policy case, ruling that the prosecution failed to establish the charges beyond reasonable doubt. In its order, the court said the Central Bureau of Investigation did not present sufficient evidence to substantiate allegations linked to the now-scrapped liquor policy. The judge observed that serious criminal charges require strong and credible proof and cannot be based on assumptions. The case centred on alleged irregularities in the formulation and